Biotechnology Forums

Full Version: Pulmonary embolism (PE)
You're currently viewing a stripped down version of our content. View the full version with proper formatting.
 

Pulmonary Embolism
 
 
Pulmonary embolism is the blockage of a pulmonary artery or one of its branches by a blood-born blood clot or foreign material.

Examples of foreign materials : fat, air bubbles and or a tumor
 
Causes of Pulmonary embolism are :

1-Genetic blood clotting disorder
2-fracture happened to leg or hip
3-Cancer : The chance of diagnosing a malignancy is increased
for around 2 years after an episode of thromboembolic disease; usually, these are cancers of advanced stage with a consequently poor prognosis.23,24 Especially in patients with idiopathic thromboembolic disease, the existence of cancer is very probable and should therefore
be checked for thoroughly.(1)

4-Surgery : Local trauma and orthopaedic operations, especially
in the region of the pelvis, hips, thighs and knees, cause damage to the venous wall endothelium. It is believed that surgery predisposes to PE, for an interval of more than a month post operation. It has been
found that 25% of cases of PE occur 15-30 days after surgery, and 15% after the 30th day. The 18th postoperative day has the highest degree of risk. (2)
 
5-Smoking

6-Hormone Therapy : An important meta-analysis of 12 studies determined that the relative risk of thromboembolic disease in
women under hormone replacement therapy in the post-menopausal period is 2.1, with higher values (3.5) during the first year of treatment.19 An interesting randomized, placebo-controlled, prospective study found that the risk of PE in post-menopausal women taking a combination of oestrogen and progesterone was about twice that in the control group.20 The incidence of PE has also been investigated in relation to the use of raloxifen and tamoxifen for the prevention and treatment of breast cancer. The rate of occurrence of PE in recently published studies was found to be 2.5 to 3 times higher than in control groups. (3)

7-Thrombophilia
 
In one fifth of cases, genetic predisposition is the main cause of PE, although one of the classical risk factors from Virchow’s triad may also be present. The doctor should suspect genetic predisposition when there is:
a) a strong family history of thromboembolic disease;
b) thrombosis in unusual anatomical sites (upper body
or upper limbs, when there is no central line catheter);
c) repeated thrombosis with no known risk factors; d)
thrombosis occurring at a young age; e) resistance to usual anticoagulant therapy.
 
It has been known for a long time that a lack of protein C, protein S, and antithrombin III is associated with an extremely high risk of thromboembolic disease. However, these genetic abnormalities are only identified in 5% of patients with DVT.27 In an even smaller percentage of these patients, insufficiency of the fibrinolytic system (hypoplasminogenaemia, abnormal plasminogen, insufficiency of plasminogentPA activator) and insufficiency of factor XII may be encountered. Relatively recently, a mutation of factor V has been found (replacement of arginin with glutamin in position 506 on factor V) which is known as factor V Leiden. This hereditary abnormality is encountered in a high proportion of the general population with heterozygous dominant form (3-4%) and is responsible for 20% of cases of DVT.27 Factor V Leiden increases coagulability, causing resistance to activated protein C.28,29 Even though by itself factor V Leiden exerts only a mild thrombogenic effect, increasing coagulability by 2-3 times, the knowledge of its existence is extremely important in circumstances that increase resistance to activated protein C, such as the use of contraceptive tablets or pregnancy. The use of contraceptives in combination with factor V Leiden increases the likelihood of thromboembolic disease by 35 times.30 In conditions of increased probability of thromboembolic disease—prolonged immobility, postoperative period, etc.—it is essential to intensify preventive treatment (4)
 
 
8-Contraceptives
 
Third generation contraceptives, which contain newer progesterones, appear to be free of side effects such as acne and piliation. However, they have been implicated in actions related to the coagulation mechanism, such as resistance to activated protein C; there is thus an increased risk of thromboembolism, indeed even greater than for second generation contraceptives. 15 Advanced age and the smoking habit increase the likelihood of complications among contraceptive
users.16 Despite the increased risk of thromboembolism, the chance of a fatal episode of PE remains small. (5)
 

[Image: 07034_01B.jpg]

What is pulmonary embolism ?

As we all know that lungs are responsible for breathing process .Lungs consist of alveoli that are responsible for oxygen and carbon dioxide exchange and these alveoli are separated from each other by elastic membranes. Very small blood vessels and capillaries run within these membranes between the alveoli and do the gas exchange
 
As we know, arteries carry the oxygenated blood to the heart to be pumped to all the body while veins carry the deoxygenated blood to the heart and pumped through pulmonary artery to lungs to be oxygenated again. If a thrombus formed and was broken off and entered one of the body veins, it is now in the circulating system and it enters the pulmonary artery and block it, so it will cause 2 problems here, 1-it will prevent the gas exchange 2-Decrease the blood supply to lung cells which will cause death to these cells and cause what is called lung infarction.
Pulmonary embolism is one of the life threating diseases and must be taken care of when the patient comes to any clinic because of chest pain, but pulmonary embolism isn't only caused by blood clots, but also caused by other materials I mentioned above as :
1-   Fat embolism which is derived from broken femur
2-  Tumor cells from cancer
 
The risk of pulmonary thrombosis is the same as vein thrombosis and they are 3 risks known as Virchow's triad
1-prolonged immobilization or alterations in normal blood flow (stasis)
2-increased clotting potential of the blood
3-Damage to the walls of the veins.
 
Prolonged immobilization is caused by prolonged setting in the car or spending a lot of time in hospital while increased clotting potential of the blood is due to medication like estrogen intake or birth control bills or cancer or smoking or increased blood cells level in the blood
 
Signs and symptoms

1-Chest pain : which is described as sharp and get sharper while talking a deep breath
2-Cough that may produce bloody sputum
3-Shortness of breath
The patient may show stable rate of respiration, heart rate and blood pressure but often have elevated heart rate .
Most common sign of pulmonary embolism are :
1-Increased hear rate that is called tachycardia
2-Increased respiratory rate
3-Bluish discoloration of mucus membrane and skin due to decreased oxygen level in the blood
As a result of progression, the heart and respiratory rate increase to compensate the unreached oxygen to body organs , and in case of large thrombus it will lead to complete blockage of the artery preventing blood from entering the lung and as a result no reaches the left side of the lung which will lead to sudden death and collapse
About 25% of patients will pulmonary embolism die suddenly from sudden collapse, breathing stoppage and cardiac arrest without prior symptoms.
 
Diagnosis

Sometimes it is hard to detect the pulmonary embolism in a patient specially if the patient already suffer from high blood pressure or heart rate, so when the patient feels chest pain or shortage in breathing he\she must seek a doctor  .
 
PERC Rule for Pulmonary Embolus
 
Being able to assess a patient and determine the risk for pulmonary embolus is very useful, since many patients have chest pain and shortness of breath when seen in an emergency department or urgent care facility.
The PERC rule suggests that in low risk patients, if the answer is no to the following questions, that the risk of pulmonary embolus is very low (less than 2%) and no further evaluation for pulmonary embolism is necessary or required:
·        Age greater than 50
·        Heart rate greater than 100
·        Oxygen saturation on room air less than 95%
·        Previous history of venous thromboembolism
·        Trauma or surgery within the last 4 weeks
·        Coughing up blood
·        Exogenous estrogen prescription
·            Unilateral leg swelling  
 


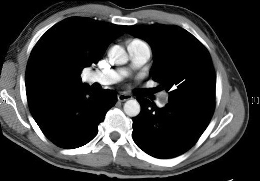
Basic test 
 
1-CT : To see across your lung

[Image: jay99b.jpg]

2-CBC : complete blood count
3-
electrocardiography (ECG): This test measures your heart’s electrical activity.
4-Chest X-ray

[Image: image23.jpg]

and 

[Image: 10320]
X-ray of pulmonary embolism due due to foreign body blockage like gun shot (missile pulmonary embolous) 

5-Pulmonary angiogram : This test involves making a small incision so your doctor can guide specialized tools through your veins. Your doctor will inject a special dye so that the blood vessels of the lung can be seen
 
6-MRi
 
 
Treatment
 
Treatment of pulmonary embolism depends on the size and location of the clot.
 
1-Anti coagulants :
 
a-Heparin : is given by injection and it is initially used because they start working immediately
 
b-Warfarin : If you're diagnosed with a pulmonary embolism, you'll usually start taking warfarin tablets after you've have the initial injections of heparin.It is usually taken for 3 months . Warfarin can cause a wide range of side effects, including:
1-bleeding problems
2-headaches
4-nausea and vomiting 
 
2-Surgery may be necessary to remove problematic clots like :
a- vein filter: the doctor will use thin wire and to put a small filter in your inferior vena cava. It prevents traveling of blood clot in your veins from your leg to your lung
b- clot removal: a thin tube called catheter suctions large clots from your artery .(it isn't not usually effective due to difficulty faced)
c- open surgery: It is used in emergency situation in case of shock or clots can't be removed by any medications
 
Prevention:
 
1-Take a break from setting
2-Drink plenty of fluids :water prevents dehydration which is a causing factor of clot but avoid drinking alcohol
3-Physical activity
 
 
 
 
 
 
 
 
 
 
 
 
 
 
 
 
References:
 
(1) Prandoni P, Lensing AW, Buller HR, et al: Deep-vein thrombosis
and the incidence of subsequent symptomatic cancer. N
Engl J Med 1992; 327: 1128-1133.
 
(2) Huber O, Bounameaux H, Borst F, et al: Postoperative pulmonary
embolism after hospital discharge: an underestimated
risk. Arch Surg 1992; 127: 310-313.
(3) Cummings SR, Eckert S, Krueger KA, et al: The effect of
raloxifene on risk of breast cancer in postmenopausal women:
results from the MORE randomized trial. JAMA 1999;
281: 2189-2197.
Cuzick J, Forbes J, Edwards R, et al: First results from the
International Breast Cancer Intervention Study (IBIS-
(4) Ryan DH, Crowther MA, Ginsberg JS, et al: Relation of factor
V Leiden genotype to risk for acute deep venous thrombosis
after joint replacement therapy. Ann Intern Med 1998;
128: 270-276.
Zakynthinos E, Pantazopoulos K: Acute mechanical mitral
valve thrombosis early after neurosurgery: is factor V Leiden
mutation contributing? Int J Cardiol 2004; 96: 487-488.
 
(5) Parkin L, Skegg DC, Wilson M, et al: Oral contraceptives and
fatal pulmonary embolism. Lancet 2000; 355: 2133-2134.